Investigadores descubren una nueva e inesperada forma de movimiento molecular
Investigadores descubren una nueva e inesperada forma de movimiento molecular
Leer más
Quinta fuerza de la naturaleza podría haber sido descubierta dentro de los átomos
Quinta fuerza de la naturaleza podría haber sido descubierta dentro de los átomos
Leer más
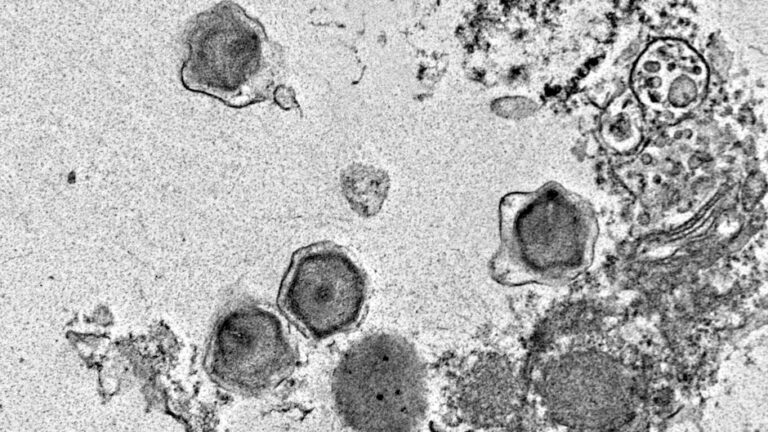
Cientos de virus gigantes han sido descubiertos en el océano
Cientos de virus gigantes han sido descubiertos en el océano
Leer más
Detectan extrañas señales de radio que emanan de las profundidades del hielo antártico
Detectan extrañas señales de radio que emanan de las profundidades del hielo antártico
Leer más
Descubren que roca sólida fluye a 2 700 kilómetros bajo la superficie
Se descubre roca sólida que fluye a 2 700 kilómetros bajo la superficie en un primer experimento
Leer más
La acidez del océano ha alcanzado niveles críticos y nos amenaza a todos
La acidez del océano ha alcanzado niveles críticos y nos amenaza a todos
Leer más





