Categoría: SALUD Y MEDICINA

Crean IA que identifica una enfermedad rara analizando el dorso de la mano

Crean IA que identifica una enfermedad rara analizando el dorso de la mano

Descubren mutaciones del ADN en los hijos de los trabajadores de Chernóbil

Descubren mutaciones del ADN en los hijos de los trabajadores de Chernóbil

Un hombre sobrevive 48 horas sin pulmones en un logro médico sin precedentes

Un hombre sobrevive 48 horas sin pulmones en un logro médico sin precedentes

Científicos acaban de descubrir algo alarmante en la sangre del cordón umbilical

Científicos acaban de descubrir algo alarmante en la sangre del cordón umbilical

Estudio advierte que el ‘ruido rosa’ podría perjudicar la calidad del sueño

Estudio advierte que el ‘ruido rosa’ podría perjudicar la calidad del sueño

Misterio de 20 años resuelto: Científicos descubren una forma completamente nueva en que las células transportan ácidos biliares

Misterio de 20 años resuelto: Científicos descubren una forma completamente nueva en que las células transportan ácidos biliares

Científicos crearon médulas espinales humanas en miniatura y luego las repararon tras una lesión

Científicos crearon médulas espinales humanas en miniatura y luego las repararon tras una lesión

Un hallazgo sorprendente dentro de los cálculos renales sugiere que estábamos equivocados sobre cómo se forman.

Un hallazgo sorprendente dentro de los cálculos renales sugiere que estábamos equivocados sobre cómo se forman.

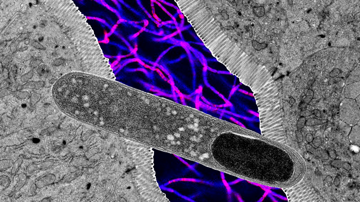
Las bacterias intestinales podrían ser el secreto para un mejor tratamiento contra el cáncer

Las bacterias intestinales podrían ser el secreto para un mejor tratamiento contra el cáncer

Quedarse despierto hasta muy tarde podría dañar silenciosamente tu corazón

Quedarse despierto hasta muy tarde podría dañar silenciosamente tu corazón